
隔离肺是一种罕见的先天性肺发育畸形,新生儿发生率为1/10000至1/30000之间天胜资产,其病因未明,多与孕妇的生活习惯、饮食等无关,遗传及复发风险非常低。其主要表现为部分肺组织与正常气道不相通,且由体循环动脉(而非肺动脉)供血。通俗地说,就是"多长"了一块无功能肺组织。

隔离肺的孕期风险是巨大肿块压迫心脏或腔静脉导致胎儿水肿,甚至导致心功能衰竭;肿块占位还会影响肺发育,出生后导致呼吸困难。胎儿水肿是预后不良的确切标志,孕期需要密切监测,很少需要宫内干预,出生后手术切除是根治手段。
隔离肺患儿的近期风险主要是出血、呼吸困难、感染及肺炎,如肿块较小,无明显症状,可定期观察;如出现症状或肿块较大,一般在儿童期通过手术切除,手术技术成熟,安全性较高。
大多数隔离肺患儿远期预后良好,属于可彻底治愈疾病,术后患儿的心肺功能可恢复到正常健康儿童水平,不影响运动、发育、学习及智力。

了解了隔离肺的基本知识,我们更能体会到当胎儿被诊断出此病,尤其是伴随巨大肿块时,准父母所承受的巨大压力。下面这个发生在佛山市妇幼保健院的真实案例,就生动展现了当面对一个孕中期发现的巨大胎儿隔离肺时,医院强大的多学科团队是如何紧密协作,从精准诊断、孕期护航到成功实施新生儿微创手术,最终化险为夷,为一个小生命和家庭点亮希望之光的。
◎◎◎◎◎◎
当孕中期超声报告上赫然出现"胎儿左侧胸腔巨大肿块" 时,云女士(化名)的世界仿佛瞬间停滞。这个被外院初步判断为 "隔离肺" 的异常信号,如同一块巨石压在一家人的心头。
此后,转诊至佛山市妇幼保健院后,希望的曙光逐渐驱散阴霾,一场跨越三个多月的生命护航就此展开。
佛山妇幼依托强大的胎儿疾病一体化诊疗多学科团队,从产前精准诊断到产后微创手术,医护人员用专业与温情,为这个小生命铺就了一条从 "未知恐惧" 到 "健康新生" 的希望之路。
精准诊断:
用数据编织生命安全网天胜资产
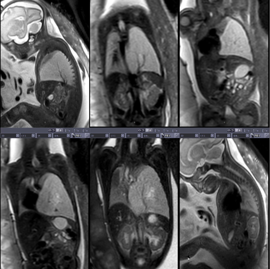
2025 年3 月,云女士带着外院的超声报告单来到我院产前诊断中心,此时胎儿左侧胸腔的肿块几乎占据大半胸腔,心脏被压迫得向右移位。
产前诊断中心主任黄湘迅速启动 "胎儿异常精准评估体系",组织胎儿医学中心团队进行宫内会诊及全面评估,层层剖析肿块性质:“超声显示肿块血供来自主动脉,这是隔离肺的典型特征。”
从孕23 周到36 周,产科胎儿医学及双胎诊治中心鲁云涯医生密切追踪,安排了7 次超声、2 次MRI 检查等富有成效的产前评估,并联合超声科、放射科动态监测胎儿胸部肿块的变化情况。
这份严谨的坚守至关重要。孕30周时肿块最大直径一度高达61mm ,CVR 值是评估肺部肿块风险的关键,正常情况下CVR>1.6提示高风险水肿,而此时胎儿的CVR已达到3.27。
“我们都担心胎儿出现水肿,那样胎死宫内的风险会显著升高。” 鲁医生说:“幸运的是,这个宝宝的数值经历高峰后便开始持续下降,说明肿块对胸腔的压迫在减轻,胎儿安全度过了最危险时期。”

多学科协作:
"产前-产时-产后"无缝协作
胎儿胸部巨大肿块的诊疗,不仅考验诊断技术,更考验多学科协同作战能力。在孕妇分娩前, 我院开启新生儿科、小儿外科、放射科、超声科、麻醉科专家 "MDT会诊" 模式,会诊意见亦与我院客座教授、美国弗吉尼亚大学医学院罗国阳教授交流,他对我院团队合作和治疗方案表示高度认可。
鲁云涯医生在讨论会上提出,隔离肺的风险是巨大肿块压迫心脏或腔静脉导致胎儿水肿,甚至导致心功能衰竭;肿块占位还会影响肺发育,出生后导致呼吸困难。胎儿水肿是预后不良的确切标志,孕期需要密切监测,手术切除是根治手段。
新生儿科团队则需关注患儿出生后呼吸支持方案,提前备好呼吸机和 CPAP 设备。放射科陈凤英主任医师通过三维重建技术,清晰标注出肿块与心脏、大血管的位置关系,为手术规划提供 "导航图"。
MDT团队达成共识:"若孕晚期出现胎儿水肿天胜资产,可能需提前终止妊娠;若保持稳定,则争取足月分娩,提高新生儿存活率及手术耐受性。"
小儿外科黄振强副主任医师则表示:胎儿平安护航至足月,小儿外科手术团队将竭尽全力保障新生儿手术安全顺利。
团队的专业方案与坚定信心传递给了云女士。她坚定回应:"我相信你们的专业判断,我们一起拼!"这份珍贵的信任,使这场 "生命护航战" 有了最重要的支撑。
分娩决策:
在风险与希望间寻找最优解
孕37周时,胎儿各项指标趋于稳定。产科胎儿医学亚专科团队再次全面评估,确认胎儿已度过最危险的 "压迫期",且胎心监护持续正常。
"既然宝宝在宫内表现稳定,我们应该创造自然分娩的机会。" 产科主任陈汝芳力主顺产,并制定了周密的 "产时应急方案":产房内备好新生儿复苏设备,新生儿科团队严阵以待做好一切抢救准备,小儿外科团队随时待命。最终,云女士顺利顺产。
微创奇迹:
新生儿胸腔镜下的 "精准切除"
出生后,胸部CT 再次明确诊断 "左侧巨大隔离肺"。在新生儿科专科主任刘卫东团队的精心呵护下,宝宝平稳度过了危险期:呼吸循环稳定、营养支持到位,有效控制感染。
患儿病情稳定后,医护团队立即与家属商讨进一步治疗方案。因肺部肿块巨大占位,影响胎儿肺的发育,且引起纵膈移位,家属要求尽量手术根治。

长期以来,我院小儿外科积累了丰富的胎儿及新生儿手术经验,麻醉科对此类患儿的术中监护也经验十足,但面对患儿胸腔空间狭小,肿块紧邻心脏和大血管,稍有不慎就会引发致命出血等因素,外科副主任唐华建还是强调了手术挑战性:这台手术如同 "在刀尖上跳舞"—— 整个手术过程肿块都随着心脏跳动而摆动,既要完整切除肿块,又要精准结扎异常血管,还要避免损伤正常肺组织。
手术在胸腔镜下进行,3个0.5 cm的切口成为 "战场入口"。在高清内镜视野下,唐华建精准定位直径仅约3 毫米的异常供血血管,使用特制的微型钳夹成功结扎。分离肿块时,他像 "剥洋葱" 般逐层剥离粘连组织,动作轻、准、稳。
1小时 20 分钟后,长达6cm的肿块被完整切除,术中出血量控制至仅2ml。术后病理报告证实为"隔离肺"。
一周后宝宝康复出院。面对云女士“会复发吗?”的关切询问,唐华建耐心解答:“一般不会,但需随访”。对于二胎是否还会出现类似情况的疑问,胎儿医学专家们贴心地告知:“目前没有明确遗传证据,风险极低。”
生命启示:
医学的温度与技术的精度
这个成功案例生动诠释了胎儿医学的核心价值 —— 我们不仅要治疗疾病,更要守护生命尊严。
现代医学为绝大多数胎儿结构异常提供了解决方案,佛山市妇幼保健院建立的 "胎儿发育异常一体化管理体系",实现了从产前诊断、多学科评估、宫内干预到产后手术治疗的全流程覆盖。专业医疗团队的使命,就是让每一个珍贵的生命都有机会绽放。在佛山 "生命的摇篮" 里,这样的生命奇迹,正在不断上演。
来源:产科——胎儿医学及双胎诊治中心 鲁云涯
审核:产科副主任 傅瑶
编辑:宣教科全媒体编辑部
天胜资产
公牛配资提示:文章来自网络,不代表本站观点。